Your Journey, Your Smile
We understand that every health journey is personal- which is why creating a tailored experience for every guest is at the heart of how we work. Discover how these personalized plans have led our existing clients to a brighter, more confident future.
Jude
Composite Bonding by Vera Da Silva
“I was able to complete the removal of this old metal crown and rebuilt it as a layered composite Bonding technique. A single porcelain crown is notoriously difficult to match the colour and in this case the patient had this crown changed twice previously due to a colour matching problem. We are incredibly happy that this patient was able to return home in London with a smile refreshed and all done in a day .” - Dr Vera Da Silva


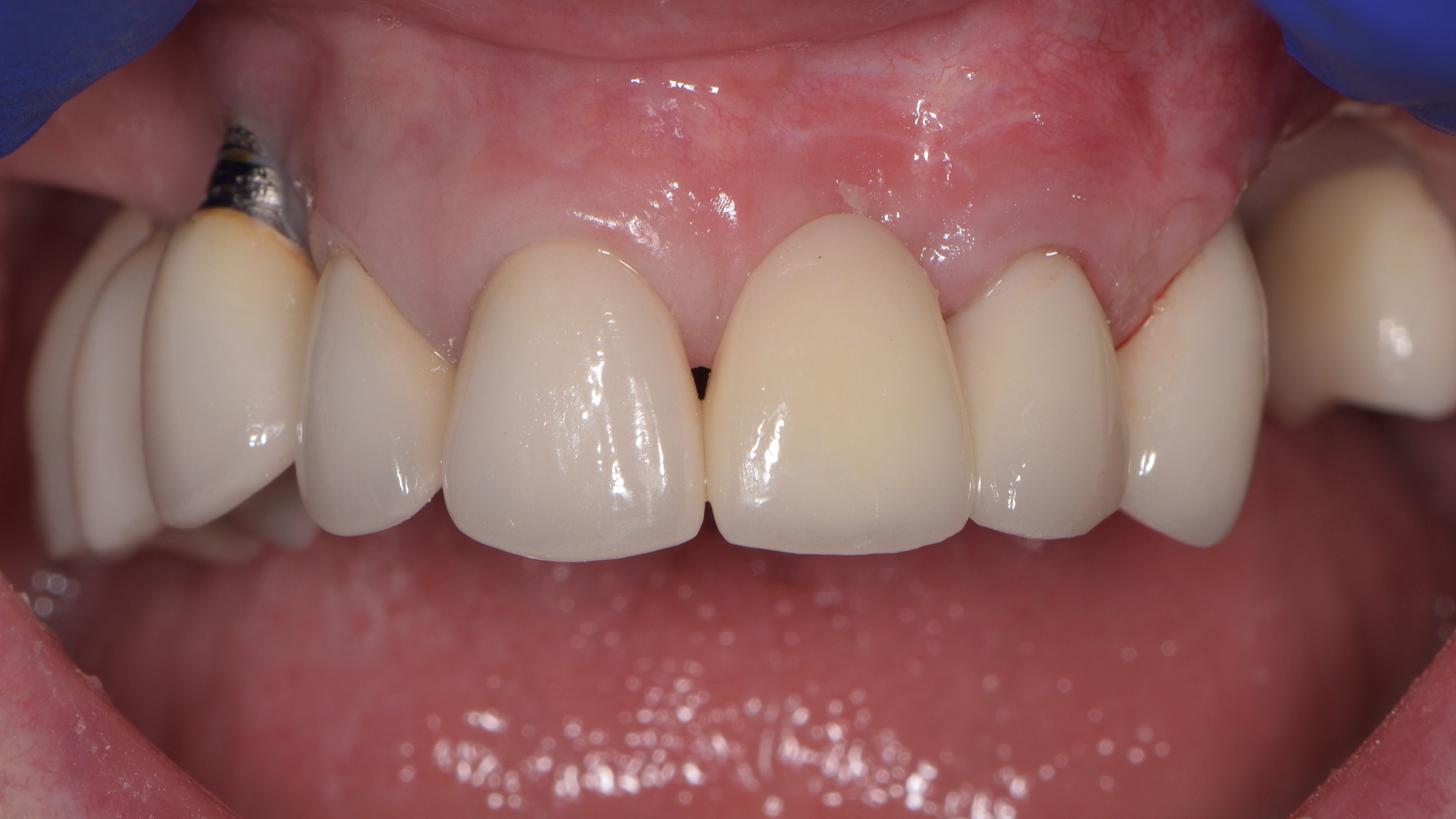
Albie
Composite Restoration by Ching Feng Sia
Immediate repair of fractured porcelain crown with composite restoration i.e. white filling material.


Wendy
Veneers by Allan Matthews


Doreen
Implant Supported Denture by Neeraj Puri
Doreen had discomfort when eating due to failing dentition and felt that her smile was unsightly, as she had many fractured teeth. The patient wanted to be able to eat better and feel confident when she smiled. Following a detailed assessment, it was decided that none of the upper teeth could be saved. As a result, Doreen received a custom-made premium-quality implant denture with high-grade composite teeth and no palate. This is the ideal denture solution if the lip is sunken in. The smile collapse has been resolved, and Doreen’s smile appears younger.


Holly
Amalgam Removal by Vera Da Silva
If you’re considering having your amalgam dental fillings replaced with more aesthetically pleasing and biocompatible dental composites, it’s important to prioritise safety during the removal process. Here’s how I can ensure safe amalgam removal while minimising exposure to mercury vapours and aerosols: A rubber dam is a protective sheet placed over the teeth to isolate the treatment area. It prevents amalgam particles and mercury vapours from entering the mouth and being inhaled or swallowed. Hospital-grade suction devices are used to capture and remove amalgam particles and aerosols generated during the removal process. This minimises the release of mercury vapours into the air. Continuous water cooling during the removal process reduces heat generation, which can increase mercury vapour release. It also helps to minimise the creation of aerosols. By following these safety protocols, you can ensure that your amalgam fillings are removed and replaced with minimal risk and maximum care.


Samantha
Composite Bonding by Vera Da Silva
No braces? Composite bonding might solve your problem and make them looking more even and aligned.


Louise
Composite Restorations by Ching Feng Sia
Composite restorations, i.e., white fillings, to address worn-down tooth surfaces and minimise further tooth wear.


Fiona
Aligners, Bonding, and Veneers by Allan Matthews




Hazel
Composite Restoration by Ching Feng Sia
Routine composite restoration to replace a leaking/failing existing composite restoration.


Helen
Implant Supported Denture by Neeraj Puri
Helen was wearing a denture for many years that she was trying to hold in with denture glue. It kept moving, affecting her confidence to communicate during her exhibitions as she is an artist. She was worried about having treatment because she wasn’t sure if she could manage it. We helped her through the stages until she was rewarded with a fantastic smile and teeth that no longer moved.




Daniel
Aligners and Composite Bonding by Allan Matthews




Akim
Zirconia Crown by Ching Feng Sia
Restoring broken tooth with full coverage zirconia crown i.e. white crown.


Alexandra
Zirconia Bridge by Ching Feng Sia
3-teeth zirconia bridge, i.e. porcelain bridge, to replace the existing bridge due to tooth decay detected underlying the existing bridge – collaborated with a dental technician to copy the aesthetics of the existing bridge using digital planning to suit the patient's preference. During treatment, the bridge was dismantled, revealing decay on the natural tooth. Teeth restored and margins refined.






JS
Aligners and Bonding by Allan Matthews


.png)
Francis
Composite Bonding by Vera Da Silva
A front tooth fracture resulted in the loss of approximately two-thirds of the tooth structure. To restore the tooth quickly and effectively, composite bonding was chosen as a same-day solution. Using high-quality composite material, Dr Vera Da Silva rebuilt the tooth in a single appointment—restoring both appearance and function with a natural-looking result.


Marine
Dental Implant by Neeraj Puri
"The team at Integrated Dentalcare is wonderful. I have never had one bad experience. I have just had an implant put in, which can be a very daunting experience but Neeraj has put me at ease from the very start. It has been a very successful experience." - Marine


Sandy
Implant Supported Tooth by Neeraj Puri and Bite and Tooth Positioning by Dr Allan Matthews
Sandy had long-term bite issues that resulted in the eventual breakage and loss of his front due to his bite issues. He underwent orthodontic treatment with Dr Allan Matthews to resolve the bite issue and improve his smile's cosmetics. At the same time, Dr Matthews created the optimal space to put back a tooth. Following the bite correction, Sandy settled on an implant-supported solution with Dr Neeraj Puri, which was deemed the best solution as it was self-supporting and did not involve cutting down natural teeth. The treatment involved comprehensive multi-disciplinary planning, digital design, orthodontics, restorative work, and navigation-guided surgery. The outcome was a fully functional tooth that improved both the aesthetics and long-term function of his dentition, mitigating the risk of other teeth suffering a similar fate.


-2.jpg)

-2.jpg)

Gill
Dental Implant by Neeraj Puri


Marta
Composite Restoration by Ching Feng Sia
Composite restoration, i.e. white filling, to address the premolar tooth with non-cavitated decay.


Mary
Composite Restoration and Bonded Crown by Ching Feng Sia
Composite restoration, i.e. white filling, to replace the existing composite restoration to improve the overall seal, and a bonded crown to restore the broken tooth.


Theo
Composite Restoration by Ching Feng Sia
Routine composite restoration to address dental decay and a crack in the tooth.



Garrick
Denture by Ching Feng Sia
Failed bridge restorations replaced with removable prosthesis (denture) – implant treatment unsuitable.


Elizabeth
Dental Implant by Neeraj Puri


Patricia
Implant Supported Denture by Neeraj Puri




Eddie
Composite Restoration by Ching Feng Sia
Immediate restoration to fix an emergency broken single front tooth.


Niall
Implant Supported Denture by Neeraj Puri
Suffering from years of severe gum disease resulted in the teeth drifting and becoming crowded. This gentleman felt uncomfortable with his smile. The problems had persisted for so long that there was limited bone left. A denture supported by implants was deemed to be the best option. We designed a realistic-looking smile which looks like it belongs there, now supported by optimally placed implants. The result shows a much more youthful and confident experience for this client. Now everything is back on the menu!




Elaine
Implant, Composite Bonding, and Crowns by Neeraj Puri
Elaine had a missing tooth, which she wanted to replace with a supporting solution. She also wanted to take the opportunity to address the appearance of the other front three teeth. This can be challenging when many different procedures must be carried out, especially with a high lip where everything is displayed. Here, a laser-guided implant placement using Waterlase and X-guide, composite bonding, and a crown were created for the new smile. The end is a seamless, natural result which markedly enhances the tired smile.


Caroline
Dental Implant by Neeraj Puri
Caroline wanted to address her failing front tooth. She is an active golf player and socialite. The tooth had to be lost as it risked destroying the bone underneath due to constant infections. She wanted an implant-supported solution, meaning other teeth would remain untouched. The outcome is a natural-looking tooth and gum that blends in the surroundings supported by an optimally placement implant to achieve maximum life expectancy.


Stuart
Laser Sculpting for Gummy Smile Correction by Neeraj Puri


Claire
Zirconia Dental Implant by Neeraj Puri
Claire requested a metal-free solution to replace a failing tooth. After removing the tooth, a piece of zirconia implant was placed using navigation-guided technology. No stitches were necessary, and faster healing was achieved thanks to using the laser. A custom-made zirconia/ceramic crown was fitted—imperceptible from the surroundings.


Marion
Implant Supported Bridges by Neeraj Puri
Failing teeth in the upper and lower jaw left too few teeth to function properly. It was decided to place full jaw bridges with implants. Marion was delighted with her life-enhancing results.


Emily
Braces and Bonding by Allan Matthews


John
Restorative and Dentures by Allan Matthews


Elaine
Braces and Bonding by Allan Matthews


Cherry
Aligners and Bonding by Allan Matthews


Derek
Aligners and Crown by Allan Matthews


Victoria
Aligners and Bonding by Allan Matthews


Atticus
Braces and Bonding by Allan Matthews


John
Implant Supported Dentures by Neeraj Puri


Margaret
Dental Implant by Neeraj Puri













